40 year old male with SOB
CBBLE UDHC SIMILAR CASES
"This is an online E log book to discuss our patient's de-identified health data shared after taking his/her/guardian's signed informed consent. Here we discuss our individual patient's problems through series of inputs from available global online community of experts with an aim to solve those patient's clinical problems with collective current best evidence based inputs. This E log book also reflects my patient-centered online learning portfolio and your valuable inputs on the comment box"
Shortness of breath since 1 and half month
chest discomfort since 1 and half month
HOPI: Patient was apparently normal 1 and half month back ,starts his day with 90ml of whisky and then goes to sleep and wakes up for lunch and then takes rest till evening . Starts his tea stall by the evening and works overnight on highway.
One night, he spent all his night in rain following next day he developed fever ,cold and mild cough . Initially he used tab.DOLO 650 mg ,then as fever and cold were not subsided ,went to hospital and diagnosed with covid 19 .
Since then patient has SOB grade 2 which was progressed to grade 3 in few days and then he was diagnosed with hypertension.
Now presented with SOB grade 3.
No H/O chest pain ,palpation, giddiness
Takes alcohol regularly ( 90 ml of whiskey daily) since 4 years
H/O smoking since 25 years regularly (5-6 cigarettes per day)
Past history:
H/O hypertension since 1 and half month
No H/O diabetes , thyroid, asthma, epilepsy, cardiovascular diseases
No H/O any allergies
Treatment history:
Patient was on following medications after diagnosis
Tab.CLINIDIPNE 10 mg OD
Tab.DYTOR 5mg OD
Tab. ISOSORBIDE +HYDRALAZINE 20/37.5 mgOD
Tab. NICARDIA 10 mg OD
Tab. MET XL 50 mg OD
Tab. FORACORT inh. BD
General examination:
Patient is conscious,coherent and cooperative
Moderately nourished and built
No signs of pallor, icterus,clubbing, cyanosis, lymphadenopathy,edema
Vitals:
Temp : afebrile
PR:82bpm
RR: 20 cpm
BP: 130/70 mmHg
Spo2: 98%at RA
Systemic examination:
RS: Bilateral air entry present, crepts present
CVS: S1,S2 heard , no murmurs
P/A: soft,non tender, bowel sounds heard
CVS: normal
Investigations:
ECG:
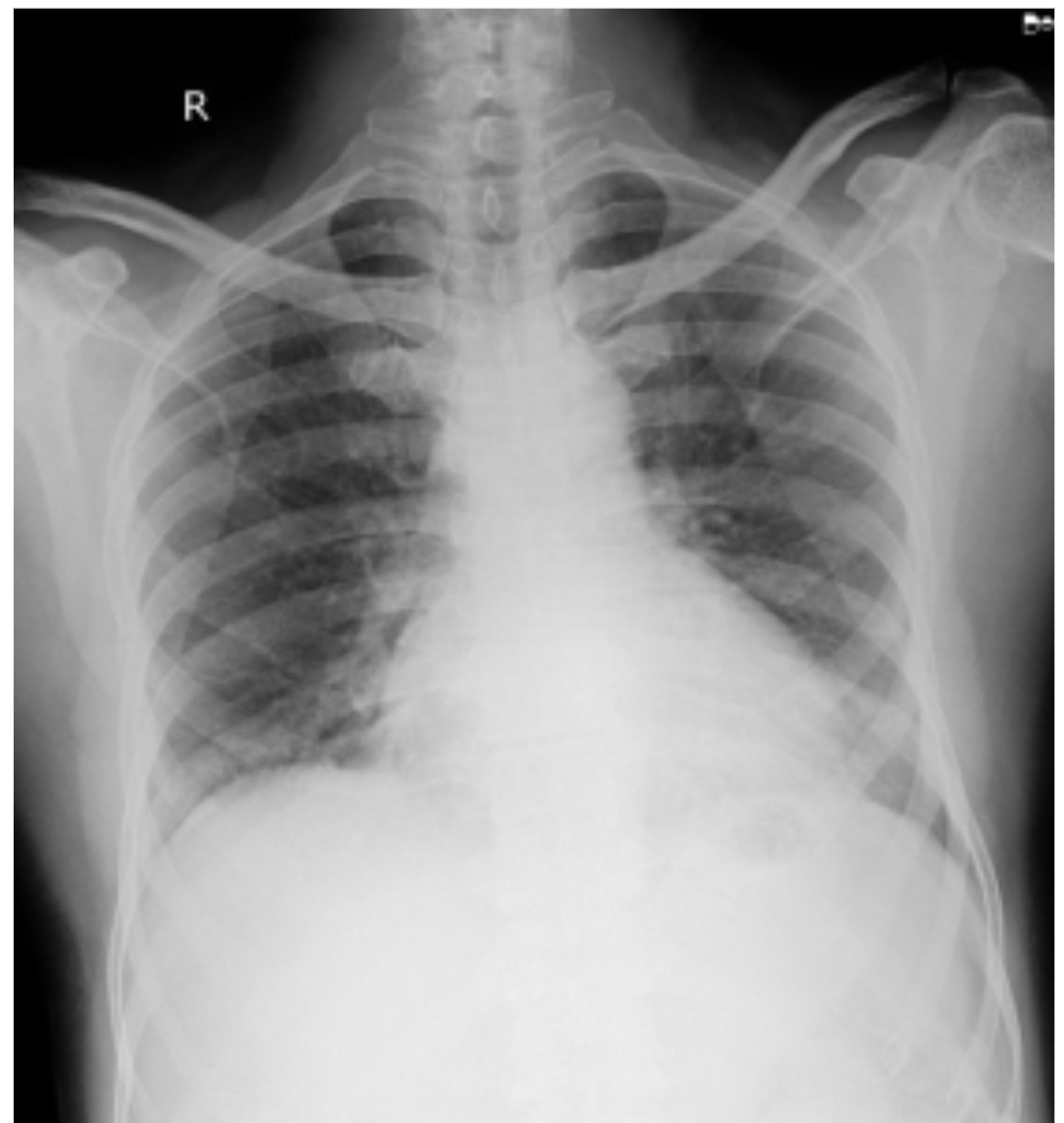
Chest x ray:
CBP:
Hb- 15.8
Wbc- 8400
N/L/E/M- 50/39/4/7
Plt- 3.1 lakhs
CUE: within normal range
LFT:
TB: 0.86
DB: 0.24
AST: 44
ALT: 65
ALP:212
TP: 7.2
Albumin: 4.5
A/G ratio: 1.67
RFT:
Blood urea: 29
Sr.creat: 0.9
Na: 142
K :4
Cl: 102
Ophthalmology referral
Pulmonology referral
Diagnosis:
UNCONTROLLED HYPERTENSION, HEART FAILURE WITH PRESERVED EJECTION FRACTION (EF-58%), GRADE 1 HYPERTENSIVE RETINOPATHY CHANGES.
Treatment:
1.Tab. AMLODIPONE 5mg/ PO/ BD
2.Tab. TELMA 40mg/PO/OD
3.Tab. PANTOP 40mg PO/OD
4.Syp.SUCRALFATE 15ml PO/TID



Comments
Post a Comment